6 Bệnh thận thường gặp ở nam giới

Nguyên nhân dẫn đến suy thận Rất nhiều nguyên nhân khiến thận bị bệnh, đó có thể là do con người dùng quá nhiều loại thuốc trị bệnh khiến...

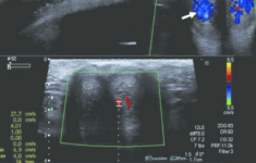
Siêu âm nam khoa: Những điều nam giới cần biết

Siêu âm vẫn được xem là một trong những phương tiện chẩn đoán hình ảnh lâu đời nhất. Tuy nhiên, đây cũng được xem là phương tiện hỗ trợ...

Sùi Mào Gà Ở Trẻ Em: Đừng Nhầm Lẫn Mụn Cóc

Mụn cóc gây ra bởi một loại virut được gọi là Human Papilomvirus – Vi rút sinh u nhú ở người. Có hơn 100 loại HPV khác nhau với khả...

Tinh Hoàn Bên Nhỏ Bên To Bất Thường: Nguyên Nhân Dẫn Đến Viêm Tinh Hoàn?

Nếu như “núi đôi” được xem là biểu hiện của vẻ đẹp và sự quyến rũ ở phụ nữ thì “hòn ngọc” (tinh hoàn) nam giới, từ thời xa...

Bệnh Lý Sùi Mào Gà Ở Nam Giới

Sùi mào gà là gì? Sùi mào gà, hay còn gọi là mục cóc sinh dục, là một bệnh lây truyền qua đường tình dục, gây ra bởi vi-rút...

Sang thương HPV – Sùi mào gà ở mắt

Human Papillomavirus (HPV) là một trong những virus gây bệnh sùi mào gà phổ biến nhất trên thế giới với hơn 100 chủng khác nhau và có thể ảnh...

Không dám lấy vợ chỉ vì…một bên tinh hoàn đã teo

Viêm tinh hoàn mạn tính nếu không chữa kịp thời sẽ để lại biến chứng khá nặng nề đó là teo tinh hoàn. Viêm tinh hoàn thường gặp ở nam...

Đau Tinh Hoàn, Đau Bìu : Nguyên Nhân, Cách Chẩn Đoán, Phương Pháp Điều Trị

Bìu là nơi chứa tinh hoàn với chức năng sản xuất tinh trùng và nội tiết tố nam testosterone. Đau bìu hay còn gọi đau tinh hoàn là những...

Đặt
Lịch
Hẹn